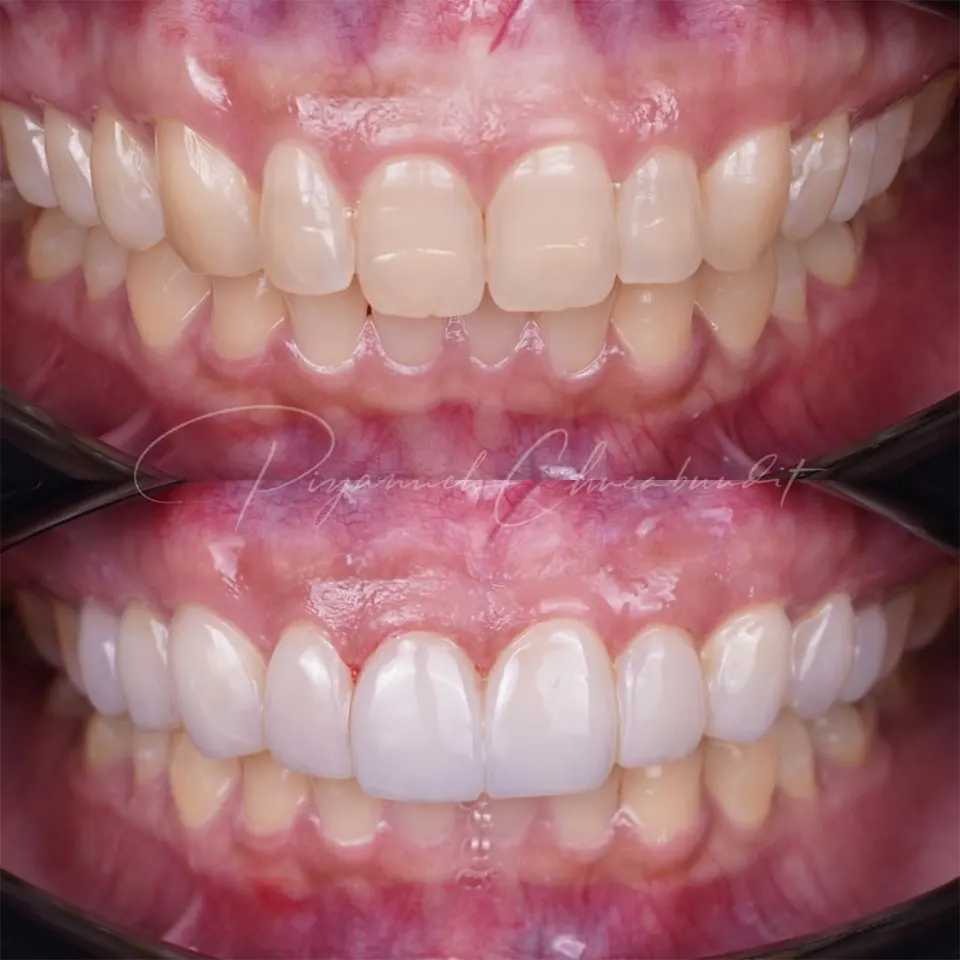
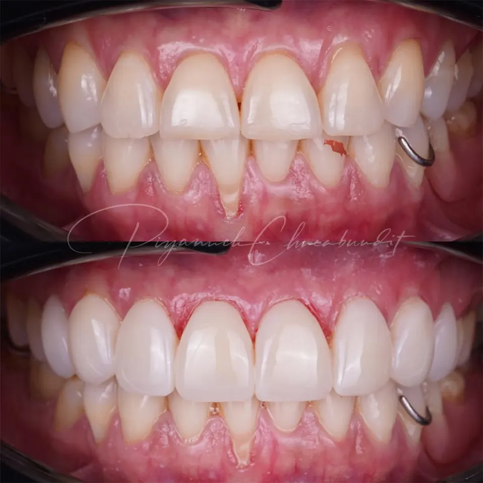
วีเนียร์ (Veneer) และ ครอบฟัน (Crown) คือการสร้างรอยยิ้มใหม่ด้วยการปรับเปลี่ยนรูปร่าง รูปทรง และสีของฟัน เพื่อแก้ปัญหาฟันห่าง บิ่น แตกหัก หรือสีฟันไม่สม่ำเสมอ สามารถทำให้ออกแบบรอยยิ้มให้สวย ได้อย่างต้องการ
สรุปความแตกต่าง Veneer
| Composite Veneer | Ceramic Veneer |
|---|---|
|
|
ขั้นตอน และจำนวนครั้งที่ใช้โดยทั่วไป
สรุปจำนวนครั้ง
| ครั้ง | รายละเอียด | เวลาประมาณ |
|---|---|---|
| ครั้งที่ 1 | ตรวจ วางแผน เก็บข้อมูล | 30–60 นาที |
| ครั้งที่ 2 | เตรียมผิวฟันและบันทึกข้อมูลเพื่อสั่งทำงานจริง | 1–2 ชม. |
| ครั้งที่ 3 | ใส่วีเนียร์จริง | 2–3 ชม. |
| ครั้งที่ 4 (ถ้ามี) | เช็กการสบ / ติดตามการรักษา | 15–30 นาที |
รวมใช้เวลาประมาณ 1–3 สัปดาห์ ขึ้นอยู่กับความพร้อมของแล็บและคนไข้ * ขั้นตอนอาจแตกต่างไปตามสภาพช่องปากและโครงสร้างฟันของแต่ละบุคคล
1. การตรวจวินิจฉัยและวางแผน
ใช้เวลา: 30-60 นาที
- ตรวจสุขภาพช่องปากและการสบฟันของเด็ก
- ถ่ายภาพ, เอกซเรย์ และพิมพ์ปาก/สแกน 3 มิติ
- ทันตแพทย์วางแผนการรักษาที่เหมาะสมกับผู้รับบริการ
ครั้งที่ 2: เตรียมฟัน (Tooth Preparation) และใส่ฟันชั่วคราว
ใช้เวลา: 1–2 ชั่วโมง
- กรอเตรียมผิวฟันเฉพาะส่วนที่จำเป็นเพื่อความสวยงามตามแผนการรักษา
- พิมพ์ปาก สแกนฟันเพื่อส่งแล็บผลิตชิ้นงานเซรามิก
- ใส่ฟันชั่วคราว (Temporary Veneer) ให้ใกล้เคียงกับแบบฟันที่คนไข้ต้องการ
- นัดหมายครั้งถัดไปเพื่อลองใส่ชิ้นงานจริง
ระหว่างใส่่ฟันชั่วคราว สามารถทดลองรอยยิ้มและแจ้งปรับแก้ได้ก่อนยึดถาวร
ครั้งที่ 3: ใส่วีเนียร์ตัวจริง
ใช้เวลา: 2–3 ชั่วโมง (ขึ้นกับจำนวนซี่)
- ทดลองใส่งานตัวจริง เพื่อตรวจสอบรูปทรง สี และขนาดฟัน
- หากพอใจจะทำการยึดฟันถาวร
- ขัดเงาและตรวจสอบการสบฟัน
- ถ่ายภาพหลังทำการเก็บประวัติการรักษา
- พิมพ์ปากส่งทำรีเทนเนอร์ใส
หากพบจุดสบผิดปกติหรือขอบไม่เรียบ อาจนัดปรับแต่งเพิ่มเติมภายหลัง
ครั้งที่ 4 : เช็กและติดตามผล (Follow-up)
ใช้เวลา: 15–30 นาที
- นัดติดตามภายใน 1–2 สัปดาห์หลังใส่วีเนียร์
- ตรวจการสบฟัน ความแนบสนิท และสี
- รับรีเทนเนอร์ใส





