การจัดฟัน สามารถช่วยแก้ไขปัญหาการเรียงตัวของฟัน ฟันซ้อน ฟันยื่น ฟันเก มีปัญหาการสบฟัน ช่วยปรับให้รอยยิ้มมั่นใจขึ้น ใช้งานฟันได้ดียิ่งขึ้น ปัจจุบันการจัดฟันมีหลายรูปแบบให้คุณได้เลือกตาม Life style
ขั้นตอนการจัดฟันแบบละเอียด (พร้อมเวลาที่ใช้)
สรุประยะเวลาและขั้นตอน
| ขั้นตอน | เวลาที่ใช้ต่อครั้ง |
|---|---|
| ปรึกษาทันตแพทย์ | 30 – 60 นาที |
| ตรวจฟัน + ขูดหินปูน / ถอนฟัน | 30 – 60 นาที / ครั้ง |
| ติดเครื่องมือจัดฟัน | 30 – 60 นาที |
| ปรับเครื่องมือ (รายเดือน) | 15 – 30 นาที / ครั้ง |
| ถอดเครื่องมือ + พิมพ์ปาก | 30 – 60 นาที |
| รับรีเทนเนอร์ | 15 – 30 นาที |
รวมระยะเวลาทั้งหมด: ประมาณ 1 – 3 ปี (ขึ้นอยู่กับสภาพฟันและโครงสร้างกระดูก)
* รายละเอียดอาจแตกต่างไปตามเคสของผู้รับบริการ
ขั้นตอนที่ 1: ปรึกษาทันตแพทย์ (Consultation)
- ตรวจช่องปาก พูดคุยถึงปัญหาเกี่ยวกับฟัน
- ถ่ายรูปฟัน อาจมีการเอ็กซเรย์หรือพิมพ์ปาก
- สรุปแนวทางการรักษาเบื้องต้นให้เข้าใจ
ระยะเวลา : ประมาณ 30 – 60 นาที
ขั้นตอนที่ 2: ตรวจสุขภาพเคลียช่องปาก + เตรียมความพร้อม
- ขูดหินปูน ถอนฟัน อุดฟัน
- ตรวจฟันผุ และสภาพช่องปากโดยรวม
- รักษาโรคเหงือก หรือฟันผุก่อนเริ่มจัดฟัน
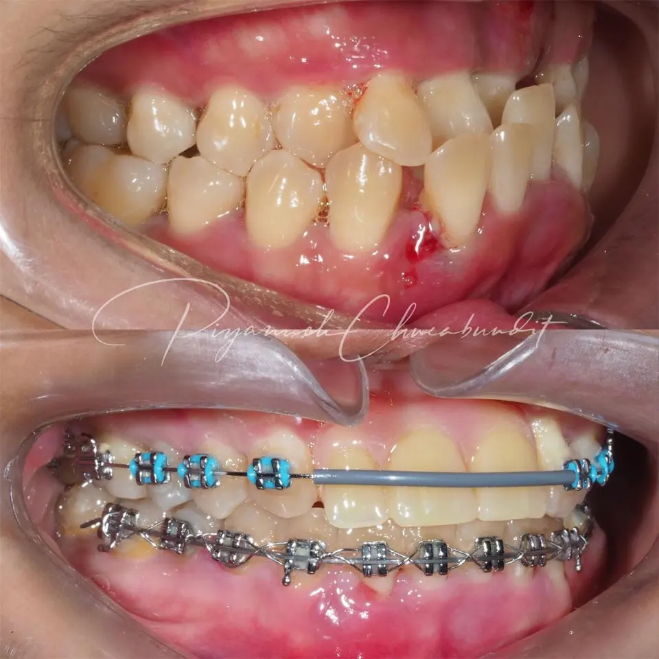
ขั้นตอนที่ 3: การติดเครื่องมือจัดฟัน
- เครื่องมือโลหะ : ใช้เวลา 1.5 – 2 ชั่วโมง
- ติดแบร็กเก็ต ลวด และยางบนฟันทีละซี่
ขั้นตอนที่ 4: นัดปรับเครื่องมือรายเดือน
- พบแพทย์เดือนละครั้งเพื่อปรับลวด เปลี่ยนยางรัด หรือเพิ่มแรงดึง
- อาจติดยางดึงฟันพิเศษ (rubber band) ในบางกรณี
ระยะเวลา: ประมาณ 15 – 30 นาที / ครั้ง
ขั้นตอนที่ 5: ถอดเครื่องมือ + ใส่รีเทนเนอร์
- ถอดเครื่องมือ: 30 – 60 นาที
- พิมพ์ปากทำรีเทนเนอร์: 15 – 30 นาที
- รับรีเทนเนอร์: 1 – 2 วันถัดไป (ขึ้นกับคลินิก)
- ใส่รีเทนเนอร์เพื่อรักษาตำแหน่งฟันให้คงที่
คำแนะนำ : ใส่รีเทนเนอร์ทุกวันในช่วง 6 เดือนแรก เพื่อป้องกันฟันเคลื่อน





